Τραυματισμός δοντιών
Τα τραύματα στα δόντια είναι πολύ συχνά στα παιδιά. Μετά από κάποιο πιθανό τραυματισμό είναι πολύ σημαντικό οι γονείς να διατηρούν την ψυχραιμία τους και να εξετάσουν τα ακόλουθα πριν επικοινωνήσουν με τον παιδοδοντίατρο : Αν το παιδί παραπονείται για ζαλάδα, τάση προς έμετο ή λιποθυμία πρέπει να επικοινωνήσετε με τον παιδίατρό σας. Αν το παιδί τραυματίστηκε σε βρώμικο περιβάλλον, ελέγξτε αν ο εμβολιασμός κατά του τετάνου βρίσκεται ακόμη σε ισχύ. Παρατηρήστε εάν υπάρχουν εκδορές ή οίδημα(πρήξιμο) στο πρόσωπο του παιδιού. Σε αυτήν την περίπτωση τοποθετήστε παγοκύστη για λίγα λεπτά και στη συνέχεια επικοινωνήστε με τον παιδοδοντίατρό σας.
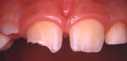
Τι πρέπει να κάνω αν σπάσει κάποιο δόντι μετά από τραυματισμό;
Βρείτε το σπασμένο κομμάτι και διατηρήστε το σε κρύο νερό. Επισκεφτείτε τον παιδοδοντίατρο το ταχύτερο δυνατό. Το σπασμένο αυτό κομμάτι μπορεί να ‘‘κολληθεί’’ στο δόντι. Εάν αυτό δεν είναι εφικτό, ο παιδοδοντίατρος μπορεί να ‘‘χτίσει’’ το σπασμένο δόντι με άριστο αισθητικό αποτέλεσμα.
Κάταγμα δοντιού Μετά την αποκατάσταση
Τι πρέπει να κάνω αν το παιδικό (νεογιλό) ή μόνιμο δόντι μετατοπιστεί ή κουνηθεί μετά από τραυματισμό;
Αν παρατηρήσετε ότι το δόντι του παιδιού σας έχει μετακινηθεί από τη θέση του, προσπαθήστε με μαλακές κινήσεις να το επαναφέρετε στην αρχική του θέση. Στη συνέχεια επισκεφτείτε αμέσως τον παιδοδοντίατρο, ο οποίος θα επανατοποθετήσει το δόντι και θα το σταθεροποιήσει στη σωστή του θέση.
Τι πρέπει να κάνω αν το μόνιμο δόντι βγει τελείως από τη θέση του μετά από τραυματισμό;
Βρείτε αμέσως το δόντι και ξεπλύνετέ το με κρύο νερό με προσοχή χωρίς να πιάνετε τη ρίζα του. Προσπαθήστε να βάλετε το δόντι ξανά στη θέση του και βάλτε το παιδί να δαγκώσει σταθερά μια γάζα ή βαμβάκι. Εάν αυτό δεν είναι εφικτό, τοποθετήστε το δόντι σε κρύο γάλα (ιδανικά) ή σάλιο ή νερό και επισκεφτείτε το συντομότερο δυνατό τον παιδοδοντίατρό σας. Όσο νωρίτερα επανεμφυτευτεί το δόντι τόσες περισσότερες πιθανότητες υπάρχουν να σωθεί. Ο χρόνος είναι πολύτιμος!
ΠΗΓΗ: ΕΛΛΗΝΙΚΗ ΠΑΙΔΟΔΟΝΤΙΚΗ ΕΤΑΙΡΕΙΑ (ΕΠΕ)
Τι πρέπει να κάνω αν το παιδικό (νεογιλό) δόντι βγει τελείως από τη θέση του μετά από τραυματισμό;
Τα νεογιλά δόντια δεν επανεμφυτεύονται και αυτό, διότι οι πιθανότητες επιτυχίας είναι πολύ λίγες και επίσης υπάρχει ο κίνδυνος τραυματισμού του μόνιμου διαδόχου, που βρίσκεται ακριβώς από κάτω.
Πως μπορώ να προστατέψω το παιδί μου από κάποιο τραυματισμό;
Η πρόληψη των τραυματισμών γίνεται με την επίβλεψη και την κατάλληλη διαμόρφωση του χώρου μέσα στον οποίο τα παιδιά καταναλώνουν τις περισσότερες ώρες τους. Ακόμη είναι απαραίτητο οι οδηγοί αυτοκινήτων και δικύκλων να χρησιμοποιούν ζώνη ασφαλείας και κράνος, καθώς και τα ειδικά καθίσματα για τα παιδιά μικρότερης ηλικίας. Επίσης για τα παιδιά που συμμετέχουν σε ομαδικές αθλητικές δραστηριότητες (ποδόσφαιρο, μπάσκετ) συστήνεται η χρήση προστατευτικού οδοντικού νάρθηκα. Τέλος είναι σημαντικό να γίνεται η έγκαιρη διόρθωση έντονων ορθοδοντικών προβλημάτων πρόταξης των άνω μπροστινών δοντιών.



















